En el marco del Día internacional de la lucha contra el cáncer de pulmón -uno de los más peligrosos- la inteligencia artificial en el campo de la medicina juega un papel muy importante en la atención al paciente
Una coalición internacional formada para impulsar el
diagnóstico temprano del cáncer de pulmón, denominada
The Lung Ambition Alliance, busca mejorar la calidad de vida de quienes padecen esta enfermedad, mediante la aplicación
qTrack, para la
detección de nódulos pulmonares.
Dirigida a profesionales de la salud,
qTrack fue desarrollada por la empresa Qure.AI y tiene por objetivo apoyar a los médicos de primer contacto para detectar nódulos pulmonares y así ayudar en la
identificación temprana de esta enfermedad.
qTrack funciona con
Inteligencia Artificial (IA) a través del
procesamiento rápido de resultados. Utiliza algoritmos de aprendizaje profundo para analizar los rayos X y detectar incluso los nódulos más pequeños. Además de detectar la enfermedad la aplicación también identifica otras 6 anormalidades incluyendo
tuberculosis,
COVID-19 y
enfermedad pulmonar obstructiva crónica (EPOC).
Herramientas como esta, junto con la experiencia del personal de salud, son de gran relevancia para mejorar el diagnóstico oportuno de enfermedades tan impactantes como el
cáncer de pulmón, uno de los más peligrosos.
https://www.youtube.com/watch?v=zavs7jYRbIM&feature=emb_logo
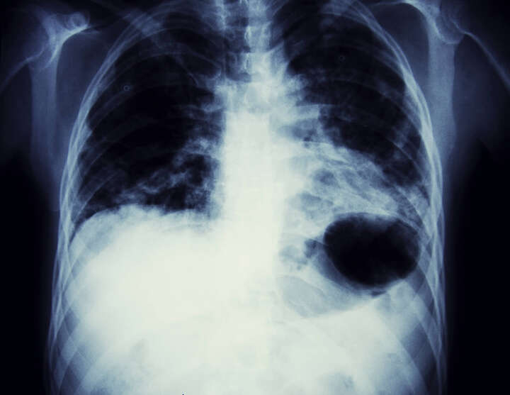
Este tipo de cáncer se origina en los pulmones, por lo general en las células que revisten los
bronquios y otras partes del pulmón como los
bronquiolos o los
alvéolos.
Se cree que los cánceres de pulmón comienzan como áreas de cambios anormales y los primeros cambios ocurren en los genes de las mismas células ocasionando que crezcan rápidamente. Las células pueden lucir un poco anormales si se observan con un microscopio, pero en este punto no forman una
masa o
tumor, por lo que no se pueden ver con rayos X y no causan síntomas.

Con el paso del tiempo estos cambios pueden progresar hasta convertirse en un verdadero cáncer y en este punto,
las células cancerosas pueden producir sustancias químicas que contribuyan a la formación de nuevos vasos sanguíneos en las áreas vecinas. Estos vasos sanguíneos nutren a las células cancerosas que pueden continuar creciendo para formar un
tumor lo suficientemente grande para verse en estudios por imagen, como los rayos X.
Si el cáncer de pulmón se propaga a otras partes del cuerpo, se dice que ha hecho metástasis.
De acuerdo con datos de 2020 del
Centro Internacional de Investigaciones sobre el Cáncer (IARC), que forma parte de la
Organización Mundial de la Salud (OMS),
México se encuentra en el séptimo lugar de nuevos casos y en el cuarto lugar de fallecimientos por este padecimiento con 7588 y 7100 casos, respectivamente. Asimismo, solo un 1% de casos se diagnostican en etapas tempranas.
Con información de https://lungnodule-latam.qure.ai/ y https://frentepulmon.org/
Autor
El equipo de CódigoQro proporciona información precisa y oportuna sobre diversos temas de interés general. ¡La información no se vende! Escribimos realidades.